切换至 "中华医学电子期刊资源库"
图/表 详细信息
  • 趋化因子CXC配体12预处理骨髓间充质干细胞对小鼠全层皮肤缺损创面愈合的影响及其潜在机制
    王许杰, 李艳, 吴高峰, 官浩
    中华损伤与修复杂志(电子版) . 2026, 21 (02): 119-126.
    摘要 ( 0 ) HTML ( 0 ) PDF ( 3189 ) ( 0 )
    目的

    探索趋化因子CXC配体12(CXCL12)预处理骨髓间充质干细胞(BMSCs)对小鼠全层皮肤缺损创面愈合的影响及其机制。

    方法

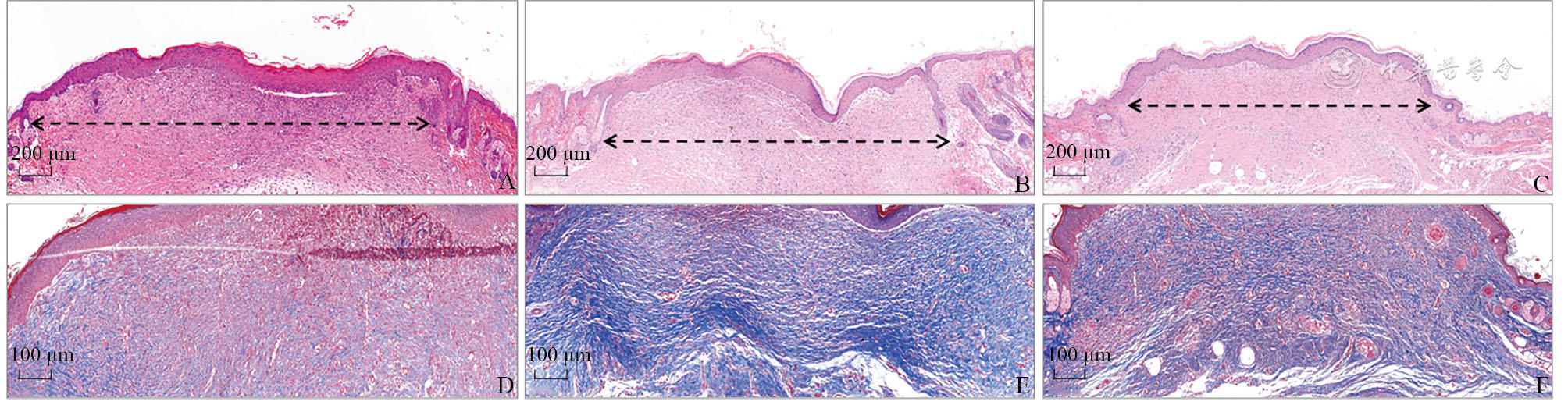
    选取第3~5代BMSCs,分为正常对照组、单纯CXCL12组、CXCL12+CXCL12受体阻断剂组并进行相应处理。培养48 h后,采用细胞计数试剂盒8(CCK-8)法检测细胞存活率,采用5-乙炔基-2′-脱氧尿嘧啶核苷(EdU)细胞增殖检测试剂盒染色观察细胞增殖活力;培养24 h后,采用蛋白质印迹法检测鸟苷酸交换因子1(Epac1)、细胞外调节蛋白激酶(Erk)、磷酸化Erk(p-Erk)的蛋白表达并计算p-Erk与Erk比值。以上实验样本数均为6。取18只成年雄性BALB/c小鼠,按照随机数字表法分为PBS对照组、BMSCs组、CXCL12预处理BMSCs组,每组6只,于小鼠背部建立全层皮肤缺损创面模型,3 d后通过创周组织皮下注射分别给予100 μl的PBS、100 μl含1×106个BMSCs细胞悬液、100 μl含1×106个CXCL12预处理BMSCs细胞悬液。伤后4、7、10 d,观察创面愈合情况并计算创面愈合率。伤后11 d,收集3组小鼠创面组织标本,采用苏木精-伊红染色法和Masson染色法分别检测创面组织缺损长度及胶原容积分数(CVF)。

    结果

    培养48 h后,与正常对照组比较,单纯CXCL12组细胞存活率明显升高(P<0.05);与单纯CXCL12组比较,CXCL12+CXCL12受体阻断剂组细胞存活率明显降低(P<0.05)。培养48 h后,与正常对照组比较,单纯CXCL12组细胞EdU染色数量增多,细胞增殖活力增强;与单纯CXCL12组比较,CXCL12+CXCL12受体阻断剂组细胞EdU染色数量减少,细胞增殖活力减弱。培养24 h后,与正常对照组比较,单纯CXCL12组细胞Epac1蛋白表达及p-Erk与Erk比值明显升高(P<0.05);与单纯CXCL12组比较,CXCL12+CXCL12受体阻断剂组细胞Epac1蛋白表达及p-Erk与Erk比值均明显下降(P<0.05)。伤后4、7、10 d,CXCL12预处理BMSCs组小鼠创面愈合率(分别为56.7%±2.6%、70.4%±1.6%、84.5%±0.5%)均明显高于BMSCs组(分别为37.4%±5.2%、49.2%±3.7%、67.9%±1.1%),P值均<0.05。伤后11 d,CXCL12预处理BMSCs组创面组织缺损长度明显短于BMSCs组[(1.79±0.05) mm 比 (2.20±0.15) mm,P<0.05]。伤后11 d,与PBS对照组比较,BMSCs组小鼠创面组织CVF明显升高(P<0.05);与BMSCs组比较,CXCL12预处理BMSCs组小鼠创面组织CVF明显降低(P<0.05)。

    结论

    CXCL12预处理BMSCs能够明显促进小鼠全层皮肤缺损创面愈合,其机制可能为CXCL12通过激活Epac1/Erk信号通路改善BMSCs的生物学功能,从而提高BMSCs治疗皮肤缺损创面效果。

组别 样本数 伤后4 d 伤后7 d 伤后10 d
PBS对照组 6 27.0±6.5 49.1±3.1 60.3±1.7
BMSCs组 6 37.4±5.2 49.2±3.7 67.9±1.1
CXCL12预处理BMSCs组 6 56.7±2.6 70.4±1.6 84.5±0.5
F 6.32 17.34 10.67
P 0.022 <0.001 <0.001
P1 0.313 0.988 0.020
P2 0.028 <0.001 <0.001
表2 各组小鼠伤后4、7、10 d创面愈合率比较(%,
±s
本文的其它图/表

AI


AI小编
你好!我是《中华医学电子期刊资源库》AI小编,有什么可以帮您的吗?