切换至 "中华医学电子期刊资源库"

中华损伤与修复杂志(电子版) ›› 2026, Vol. 21 ›› Issue (01) : 47 -53. doi: 10.3877/cma.j.issn.1673-9450.2026.01.008

论著

免疫与基质调节细胞治疗创伤性异位骨化的实验研究
刘恒1,2, 何亦龙2,3, 袁蕊2,3, 刘燕燕2, 卢帅1,4, 公茂琪1, 查晔军1,(), 蒋协远1,4,()   
  1. 1 100035 首都医科大学附属北京积水潭医院创伤骨科
    2 100101 北京,中国科学院动物研究所器官再生与智造全国重点实验室
    3 100049 北京,中国科学院大学
    4 100035 北京市创伤骨科研究所
  • 收稿日期:2025-07-17 出版日期:2026-02-01
  • 通信作者: 查晔军, 蒋协远
  • 基金资助:
    北京市自然科学基金资助项目(L244014); 首都医科大学科研培育基金项目(PYZ24146); 首都医科大学附属北京积水潭医院基金项目(JST-HX-2023-001)

Therapeutic potential of immunity and matrix regulatory cells in traumatic heterotopic ossification

Heng Liu1,2, Yilong He2,3, Rui Yuan2,3, Yanyan Liu2, Shuai Lu1,4, Maoqi Gong1, Yejun Zha1,(), Xieyuan Jiang1,4,()   

  1. 1 Department of Orthopedic Trauma, Beijing Jishuitan Hospital, Capital Medical University, Beijing 100035, China
    2 State Key Laboratory of Organ Regeneration and Reconstruction, Institute of Zoology, Chinese Academy of Sciences, Beijing 100101, China
    3 University of Chinese Academy of Sciences, Beijing 100049, China
    4 Beijing Research Institute of Traumatology and Orthopaedics, Beijing 100035, China
  • Received:2025-07-17 Published:2026-02-01
  • Corresponding author: Yejun Zha, Xieyuan Jiang
引用本文:

刘恒, 何亦龙, 袁蕊, 刘燕燕, 卢帅, 公茂琪, 查晔军, 蒋协远. 免疫与基质调节细胞治疗创伤性异位骨化的实验研究[J/OL]. 中华损伤与修复杂志(电子版), 2026, 21(01): 47-53.

Heng Liu, Yilong He, Rui Yuan, Yanyan Liu, Shuai Lu, Maoqi Gong, Yejun Zha, Xieyuan Jiang. Therapeutic potential of immunity and matrix regulatory cells in traumatic heterotopic ossification[J/OL]. Chinese Journal of Injury Repair and Wound Healing(Electronic Edition), 2026, 21(01): 47-53.

目的

评估胚胎干细胞来源的免疫与基质调节细胞(IMRC)对创伤性异位骨化(THO)的干预效果及其潜在作用机制。

方法

建立SD大鼠跟腱损伤THO模型,随机分为假手术组、对照组和IMRC治疗组。IMRC治疗组于术后局部注射含1×106 个IMRC的细胞悬液,每周2次,持续4周。于术后第4、8、12周通过显微计算机断层扫描(Micro-CT)定量分析异位骨体积和骨矿物质密度(BMD);通过苏木精-伊红染色和马松三色染色评估组织炎症、纤维化及异位骨形成情况;通过免疫组化染色检测α-平滑肌肌动蛋白(α-SMA)和骨钙蛋白(OCN)表达水平;并通过体重监测和脏器病理学检查评估安全性。

结果

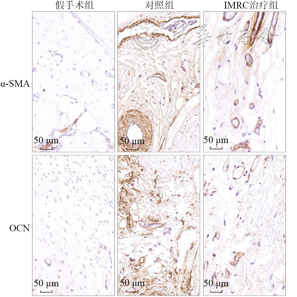
与对照组相比,IMRC治疗显著抑制了异位骨形成。Micro-CT显示,术后12周IMRC治疗组异位骨体积[(16.67±0.90) mm3]较对照组[(81.42±2.72) mm3]减少79.5%(P<0.001),BMD也显著降低[(223.78±16.65) mg/cm3比(595.14±30.31) mg/cm3P<0.001]。组织学分析表明,IMRC治疗组炎症细胞浸润、胶原沉积及纤维化评分均显著下降(均P<0.01),同时α-SMA和OCN表达受到显著抑制(均P<0.01)。所有大鼠体重稳定增长,主要脏器未见病理改变,表明IMRC治疗安全性良好。

结论

IMRC局部注射可通过抑炎-抗纤维化-抑成骨的多重机制,安全有效地抑制THO的发生与发展,是一种具有广阔转化前景的新型细胞治疗策略。

Objective

To evaluate the therapeutic effect and potential mechanism of action of embryonic stem cell-derived immunity and matrix regulatory cells (IMRC) on traumatic heterotopic ossification (THO).

Methods

A THO model was established via Achilles tendon injury in SD rats, which were then randomly divided into a sham operation group, a control group, and an IMRC treatment group. The IMRC group received local injections of a suspension containing 1×106 IMRCs twice weekly for 4 weeks post-operation. At 4, 8, and 12 weeks post-surgery, heterotopic bone volume and bone mineral density (BMD) were quantitatively analyzed using micro-computed tomography (Micro-CT). Tissue inflammation, fibrosis, and heterotopic bone formation were assessed via haematoxylin-eosin stain and Masson staining. The protein expression levels of α-smooth muscle actin (α-SMA) and osteocalcin (OCN) were detected by immunohistochemistry. Safety was evaluated by monitoring body weight and examining the pathology of major organs.

Results

Compared to the control group, IMRC treatment significantly inhibited heterotopic bone formation. Micro-CT revealed that at 12 weeks post-operation, the heterotopic bone volume in the IMRC group [(16.67±0.90) mm3] was reduced by 79.5% compared to the control group [(81.42±2.72) mm3] (P<0.001), and the BMD was also significantly lower [(223.78±16.65) mg/cm3 vs (595.14±30.31) mg/cm3P<0.001]. Histological analysis showed significant reductions in inflammatory cell infiltration, collagen deposition, and fibrosis scores in the IMRC group (all P<0.01), alongside markedly suppressed expression of α-SMA and OCN (all P<0.01). All rats exhibited steady body weight gain, and no pathological changes were observed in the major organs, indicating a favorable safety profile for IMRC treatment.

Conclusion

Local injection of IMRC can safely and effectively inhibit the development and progression of THO through a multi-mechanism approach involving anti-inflammation, anti-fibrosis, and inhibition of osteogenesis, representing a novel cell therapy strategy with broad translational potential.

图1 倒置荧光显微镜下观察的IMRC细胞培养形态。IMRC接种培养1 d后贴壁生长,呈纺锤形或星形,分布均匀;培养至第5天细胞融合度约90%,状态良好,准备用于后续实验 注:IMRC为免疫与基质调节细胞
图2 SD大鼠THO模型构建与IMRC注射操作流程图。A示右后肢消毒与铺单;B示切开跟腱外侧皮肤;C示暴露并分离跟腱组织;D示止血钳挫伤后切断跟腱;E示皮肤缝合;F示术后第1天于损伤区域局部注射IMRC悬液 注:THO为创伤性异位骨化,IMRC为免疫与基质调节细胞
图3 术后第4、8、12周各组大鼠右后肢的Micro-CT扫描图像。对照组随时间延长骨化明显增加,IMRC治疗组骨化程度较对照组显著减轻(红色方框标记异位骨组织) 注:Micro-CT为显微计算机断层扫描,IMRC为免疫与基质调节细胞
图4 采用苏木精-伊红染色评估各组大鼠跟腱组织炎症反应情况(术后12周结果)
图5 采用马松三色染色评估跟腱组织胶原沉积及纤维排列状态(术后12周结果)
图6 采用免疫组织化学染色评估跟腱组织纤维化(α-SMA)及骨化(OCN)程度(术后12周结果)
图7 实验周期内各组大鼠体重变化。术后3组大鼠体重均持续稳定增长,组间比较无统计学意义(P>0.05)
图8 各组大鼠主要脏器组织病理学分析(苏木精-伊红染色)。心、肝、脾、肺、肾组织结构清晰,未见水肿、坏死、异常炎症浸润或纤维化等病变
[1]
Xu YLHuang MZhang Y,et al. Polycystin-1 regulates tendon-derived mesenchymal stem cells fate and matrix organization in heterotopic ossification[J]. Bone Res202513(1):11. DOI:10.1038/s41413-024-00392-y.
[2]
Ben HKholinne EZeng CH,et al. Prevalence,timing,locational distribution,and risk factors for heterotopic ossification after elbow arthroscopy[J]. Am J Sports Med202351(13):3401-3408. DOI:10.1177/03635465231198862.
[3]
Wang ZZhang DJian C,et al. Pathological bone regeneration in soft tissues:a narrative review of traumatic heterotopic ossification[J]. Regen Med Rep20252(3):130-136. DOI:10.4103/REGENMED.REGENMED-D-24-00023.
[4]
Sun ZLiu WLiu H,et al. A new prognostic nomogram for heterotopic ossification formation after elbow trauma:the Shanghai post-Traumatic Elbow Heterotopic Ossification Prediction(STEHOP)model[J]. Bone Joint J2022104-B(8):963-971. DOI:10.1302/0301-620X.104B8.BJJ-2022-0206.R2.
[5]
蒋协远,查晔军. 肘关节损伤治疗之我见[J]. 中国骨与关节杂志20165(4):241-244.
[6]
Sun ZLi Jvan Riet R,et al. Clinical guideline on the open arthrolysis for posttraumatic elbow stiffness in adult patients[J]. J Shoulder Elbow Surg2025. DOI:10.1016/j.jse.2025.07.015.
[7]
Chen ZXu YQu C, et al. The IL-33/ST2 axis promotes traumatic heterotopic ossification by driving macrophage and mast cell-mediated inflammation via autophagy defects[J].  Int J Biol Sci202622(1):60-85. DOI:10.7150/ijbs.122706.
[8]
Hwang CDPagani CANunez JH,et al. Contemporary perspectives on heterotopic ossification[J]. JCI Insight20227(14):e158996. DOI:10.1172/jci.insight.158996.
[9]
Felix-Ilemhenbhio FPickering GAEKiss-Toth E,et al. Pathophysiology and emerging molecular therapeutic targets in heterotopic ossification[J]. Int J Mol Sci202223(13):6983. DOI:10.3390/ijms23136983.
[10]
Li JXDang YMLiu MC,et al. Fibroblasts in heterotopic ossification:mechanisms and therapeutic targets[J]. Int J Biol Sci202521(2):544-564. DOI:10.7150/ijbs.102297.
[11]
Wang XLi FXie L,et al. Inhibition of overactive TGF-β attenuates progression of heterotopic ossification in mice[J]. Nat Commun20189(1):551. DOI:10.1038/s41467-018-02988-5.
[12]
Meng XWang HHao J. Recent progress in drug development for fibrodysplasia ossificans progressiva[J]. Mol Cell Biochem2022477(10):2327-2334. DOI:10.1007/s11010-022-04446-9.
[13]
Lin JHuang JWu J,et al. Poly(lactic acid-co-glycolic acid)-based celecoxib extended-release microspheres for the local treatment of traumatic heterotopic ossification[J]. J Biomater Appl202236(8):1458-1468. DOI:10.1177/08853282211056937.
[14]
Hussen BMTaheri MYashooa RK,et al. Revolutionizing medicine:recent developments and future prospects in stem-cell therapy[J]. Int J Surg2024110(12):8002-8024. DOI:10.1097/JS9.0000000000002109.
[15]
Qin LLiu NBao CLM,et al. Mesenchymal stem cells in fibrotic diseases-the two sides of the same coin[J]. Acta Pharmacol Sin202344(2):268-287. DOI:10.1038/s41401-022-00952-0.
[16]
Yuan JYang YLZhao YL,et al. Advancements in mesenchymal stromal cells for treating connective tissue disease-associated interstitial lung disease:from basic research to clinical application[J]. Stem Cell Res Ther202516(1):457. DOI:10.1186/s13287-025-04597-8.
[17]
Wu JSong DLi Z,et al. Immunity-and-matrix-regulatory cells derived from human embryonic stem cells safely and effectively treat mouse lung injury and fibrosis[J]. Cell Res202030(9):794-809. DOI:10.1038/s41422-020-0354-1.
[18]
Song DLi ZSun F,et al. Optimized administration of human embryonic stem cell-derived immunity-and-matrix regulatory cells for mouse lung injury and fibrosis[J]. Stem Cell Res Ther202415(1):344. DOI:10.1186/s13287-024-03945-4.
[19]
Huang LZhang SWu J,et al. Immunity-and-matrix-regulatory cells enhance cartilage regeneration for meniscus injuries:a phase I dose-escalation trial[J]. Signal Transduct Target Ther20238(1):417. DOI:10.1038/s41392-023-01670-7.
[20]
Gu QWang JWang L,et al. Accreditation of biosafe clinical-grade human embryonic stem cells according to Chinese regulations[J]. Stem Cell Rep20179(1):366-380. DOI:10.1016/j.stemcr.2017.04.017.
[21]
Purcell KFLachiewicz PF. Heterotopic ossification after modern total hip arthroplasty:predisposing factors,prophylaxis,and surgical treatment[J]. J Am Acad Orthop Surg202331(10):490-496. DOI:10.5435/JAAOS-D-22-01070.
[22]
陈辰,肖丹,花克涵,等. 改良肘关节松解术治疗创伤后肘关节僵硬预后不良的危险因素分析[J]. 中国医刊202358(9):1004-1007.
[23]
Bang CJutkowitz ECaputo E,et al. Radiation therapy for heterotopic ossification:a systematic review[J]. Pract Radiat Oncol202515(3): 228-247. DOI:10.1016/j.prro.2024.10.013.
[24]
Zhao YWu JLi D,et al. Human ESC-derived immunity- and matrix- regulatory cells ameliorated white matter damage and vascular cognitive impairment in rats subjected to chronic cerebral hypoperfusion[J]. Cell Prolif202255(5):e13223. DOI:10.1111/ cpr.13223.
[25]
Liu JHou ZWu J,et al. Infusion of hESC derived immunity-and-matrix regulatory cells improves cognitive ability in early-stage AD mice[J]. Cell Prolif202154(8):e13085. DOI:10.1111/cpr.13085.
[1] 潘辰蕊, 杨冰洁, 沈会明, 王颖彦, 韩佳豪, 李嘉. 多模态超声联合免疫炎症指标预测乳腺癌腋窝淋巴结转移的价值[J/OL]. 中华医学超声杂志(电子版), 2025, 22(10): 969-975.
[2] 李旭, 王广亚, 赵阳, 王泽宇, 霍子琪, 朱以明, 姜春岩. 冻结肩慢性炎症-纤维化病理进程中细胞存活特征分析[J/OL]. 中华损伤与修复杂志(电子版), 2025, 20(06): 525-532.
[3] 沈振, 周岩. 中间尾侧联合入路腹腔镜系膜切除对右半结肠癌并肠梗阻患者炎症与应激反应的影响[J/OL]. 中华普外科手术学杂志(电子版), 2026, 20(01): 34-37.
[4] 陈朝乾, 赵宗贤, 徐顺, 姚远, 孙杰. 腹腔镜Dixon术中保留左结肠动脉对老年低位直肠癌患者的影响[J/OL]. 中华普外科手术学杂志(电子版), 2025, 19(06): 611-614.
[5] 严征远, 张恒, 曹能琦, 方兴超, 陈大敏. 单孔+1腹腔镜结直肠癌根治切除术的有效性及安全性临床观察[J/OL]. 中华普外科手术学杂志(电子版), 2025, 19(06): 615-618.
[6] 汤震平, 曾鹏飞, 柏斗胜. 绕肝悬吊前入路与传统入路右半肝切除术治疗原发性肝细胞癌的临床对比[J/OL]. 中华普外科手术学杂志(电子版), 2025, 19(06): 670-673.
[7] 苏清, 张宁, 胡金玉, 金睿杰, 范玉华, 韩瑞萍, 刘旭. 急性有机磷农药中毒患者血液灌流联合血液滤过与肺纤维化和预后的关系研究[J/OL]. 中华肺部疾病杂志(电子版), 2025, 18(06): 973-978.
[8] 曹键, 孟占鳌, 张可, 张悦, 郭亚豪, 邓锶锶, 罗涛, 朱璇, 覃杰, 黎超, 唐天濠, 陈颖坤, 向青. 基于血清学指标和MRI构建肝纤维化分期诊断双模态模型与验证[J/OL]. 中华肝脏外科手术学电子杂志, 2025, 14(06): 902-911.
[9] 郑升春, 陈艳, 刘娇娜, 刘冉, 张紫玥, 邢增辉, 陈香美, 洪权, 孙雪峰. 尿激酶型纤溶酶原激活物受体调控小鼠肾单侧缺血再灌注损伤诱导的肾间质纤维化及血管新生[J/OL]. 中华肾病研究电子杂志, 2025, 14(06): 301-308.
[10] 杜晓刚. 糖尿病肾脏病与代谢性炎症[J/OL]. 中华肾病研究电子杂志, 2025, 14(06): 360-360.
[11] 甘惠, 伍姿, 石迎春, 刘余, 杨政伟. 生物标志物用于老年髋部骨折患者谵妄风险预测的研究进展[J/OL]. 中华老年骨科与康复电子杂志, 2025, 11(06): 379-384.
[12] 希龙夫, 李江涛. CXCL12及其受体CXCR4/CXCR7在肝脏相关疾病中的研究进展[J/OL]. 中华临床医师杂志(电子版), 2025, 19(09): 714-719.
[13] 冉影, 刘瑞云, 王欣宇, 顾家琪, 韩宗泽, 李纪文, 杨辉, 王翛然, 王邦茂, 周璐. 瞬时弹性成像对自身免疫性肝炎肝纤维化的诊断效能及其影响因素[J/OL]. 中华临床医师杂志(电子版), 2025, 19(09): 651-658.
[14] 周懿, 黄容华, 刘政疆. 5-羟色胺与铁死亡介导的脓毒症心肌病的研究进展[J/OL]. 中华临床医师杂志(电子版), 2025, 19(08): 612-617.
[15] 刘鑫, 王文惠, 吴守振. 脓毒症相关急性胃肠损伤患者I-FABP、D-乳酸及炎症因子变化及意义[J/OL]. 中华卫生应急电子杂志, 2025, 11(06): 351-355.
阅读次数
全文


摘要


AI


AI小编
你好!我是《中华医学电子期刊资源库》AI小编,有什么可以帮您的吗?