切换至 "中华医学电子期刊资源库"

中华损伤与修复杂志(电子版) ›› 2026, Vol. 21 ›› Issue (02) : 90 -96. doi: 10.3877/cma.j.issn.1673-9450.2026.02.002

论著

高频超声联合剪切波弹性成像在增生性瘢痕厚度与硬度评估中的应用价值
黎钰敏, 朱晓旭, 陈子昂, 谢晓娜, 张金丽, 张志()   
  1. 510220 暨南大学附属广州红十字会医院烧伤整形科
  • 收稿日期:2025-11-09 出版日期:2026-04-01
  • 通信作者: 张志
  • 基金资助:
    广州市科技局项目(2023A03J0523); 2025年度市校(院)企联合资助项目(2025A03J3599)

Application value of high-frequency ultrasound combined with shear wave elastography in evaluating the thickness and hardness of hypertrophic scars

Yumin Li, Xiaoxu Zhu, Ziang Chen, Xiaona Xie, Jinli Zhang, Zhi Zhang()   

  1. Department of Burns and Plastic Surgery,Guangzhou Red Cross Hospital,Ji′nan University,Guangzhou 510220,China
  • Received:2025-11-09 Published:2026-04-01
  • Corresponding author: Zhi Zhang
引用本文:

黎钰敏, 朱晓旭, 陈子昂, 谢晓娜, 张金丽, 张志. 高频超声联合剪切波弹性成像在增生性瘢痕厚度与硬度评估中的应用价值[J/OL]. 中华损伤与修复杂志(电子版), 2026, 21(02): 90-96.

Yumin Li, Xiaoxu Zhu, Ziang Chen, Xiaona Xie, Jinli Zhang, Zhi Zhang. Application value of high-frequency ultrasound combined with shear wave elastography in evaluating the thickness and hardness of hypertrophic scars[J/OL]. Chinese Journal of Injury Repair and Wound Healing(Electronic Edition), 2026, 21(02): 90-96.

目的

探讨高频超声(HFUS)联合剪切波弹性成像(SWE)定量评估增生性瘢痕(HS)厚度和硬度的临床应用价值,为瘢痕的客观诊断与疗效监测提供新方法。

方法

选择2024年7月至2025年2月暨南大学附属广州红十字会医院烧伤整形科收治的烧烫伤后HS患者40例(共77处瘢痕),分别采用温哥华瘢痕量表(VSS)进行瘢痕评分,使用HFUS测量瘢痕厚度,应用SWE评估瘢痕硬度,并与病理结果进行对照。采用多元线性回归分析瘢痕厚度和硬度的影响因素。

结果

HS的厚度值及硬度值均显著高于正常皮肤(Z=6.567,P<0.001;Z=-6.535,P<0.001)。以病理为金标准,超声评估瘢痕厚度(R2=0.930)和硬度(R2=0.909)的准确性优于VSS(R2值分别为0.723、0.738)。多元线性回归分析显示,瘢痕部位是硬度差的独立影响因素,以四肢瘢痕为参照,面颈部瘢痕硬度差明显降低(P=0.004)。

结论

HFUS联合SWE能够客观、定量评估HS的厚度和硬度,其结果与病理结果高度一致,且优于VSS主观评估,在瘢痕的客观诊断、治疗决策与疗效监测中具有重要的临床应用价值。

Objective

To explore the clinical application value of high-frequency ultrasound (HFUS) combined with shear wave elastography (SWE) in the quantitative evaluation of the thickness and hardness of hypertrophic scars (HS), and provide a new method for the objective diagnosis and efficacy monitoring of scars.

Methods

Forty patients with HS (77 scars) after burn and scald injury,admitted to the Department of Burns and Plastic Surgery of Guangzhou Red Cross Hospital of Ji′nan University, from July 2024 to February 2025 were selected for this study. The Vancouver scar scale (VSS) scoring, HFUS for thickness measurement, and SWE for hardness measurement were performed respectively, and the results were compared with pathological findings. Multiple linear regression was used to analyze the influencing factors of the thickness and hardness of scars.

Results

Both the thickness and hardness values of HS were significantly higher than those of normal skin (Z=6.567, P<0.001;Z=-6.535,P<0.001). With pathology as the gold standard, ultrasound demonstrated superior accuracy to VSS in evaluating scar thickness (R2=0.930 vs. R2=0.723) and hardness (R2=0.909 vs. R2=0.738). Multiple linear regression analysis showed that the location of the scar was an independent influencing factor for hardness differences, and facial and cervical scars showed significantly reduced hardness differences compared to limb (P=0.004).

Conclusion

The combination of HFUS and SWE can objectively and quantitatively evaluate the thickness and hardness of HS, demonstrating results highly consistent with pathology and superior to the subjective evaluation of VSS. It has important clinical value in the objective diagnosis, treatment decision-making, and efficacy monitoring of scars.

图1 正常皮肤及瘢痕组织的超声图像。A示正常皮肤的厚度;B示瘢痕组织的厚度;C示正常皮肤的硬度;D示瘢痕组织的硬度
图2 瘢痕厚度测量。A示采用超声测量瘢痕组织厚度;B示采用卡尺测量瘢痕标本厚度
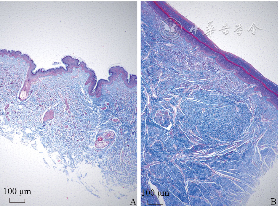
图3 正常皮肤及瘢痕组织马松染色。A示正常皮肤马松染色(×20);B示瘢痕组织马松染色(×20)
图4 超声及VSS评估瘢痕厚度和硬度与病理学结果的一致性分析。A示超声测量瘢痕厚度与病理测量瘢痕厚度的Bland-Altman分析图;B示超声测量瘢痕厚度与病理测量瘢痕厚度的一致性线性图;C示VSS评估瘢痕厚度与病理测量瘢痕厚度的一致性线性图;D示超声测量瘢痕硬度与瘢痕马松染色胶原纤维区域占比的一致性线性图;E示VSS评估瘢痕柔软度与瘢痕马松染色胶原纤维区域占比的一致性线性图
表1 瘢痕厚度差和硬度差影响因素的单因素分析
表2 瘢痕厚度差和硬度差影响因素的多因素分析
[1]
夏照帆,吕开阳. 中国临床瘢痕防治专家共识[J]. 中华损伤与修复杂志(电子版)201712(6): 401-408. DOI:10.3877/cma.j.issn.1673-9450.2017.06.001.
[2]
Amini-Nik SYousuf YJeschke MG. Scar management in burn injuries using drug delivery and molecular signaling: current treatments and future directions[J]. Adv Drug Deliv Rev2018123:135-154. DOI:10.1016/j.addr.2017.07.017.
[3]
Lee HJJang YJ. Recent understandings of biology, prophylaxis and treatment strategies for hypertrophic scars and keloids[J]. Int J Mol Sci201819(3):711. DOI:10.3390/ijms19030711.
[4]
Chiang RSBorovikova AAKing K, et al. Current concepts related to hypertrophic scarring in burn injuries[J]. Wound Repair Regen201624(3):466-477. DOI:10.1111/wrr.12432.
[5]
Bernabe RMMadrigal PChoe D, et al. Assessing scar outcomes using objective scar measurement tools: an adjunct to validated scar evaluation scales[J]. Plast Reconstr Surg2024154(5):885e-890e. DOI:10.1097/PRS.0000000000011424.
[6]
Kaur RKumaravel SMondal N. Parental non-compliance to childhood safety practices: a cross-sectional study[J]. Indian J Med Res2024160(1):128-131. DOI:10.25259/ijmr_1508_23.
[7]
Nassar JYAl Qurashi AAAlbalawi IA, et al. Pediatric burns: a systematic review and meta-analysis on epidemiology, gender distribution, risk factors, management, and outcomes in emergency departments[J]. Cureus202315(11):e49012. DOI:10.7759/cureus.49012.
[8]
刘苗苗,翟晓梅. 瘢痕客观评估的研究进展[J]. 中华医学美学美容杂志202228(4): 345-348. DOI:10.27466/d.cnki.gzzdu.2021.001482.
[9]
Zemtsov A. Skin ultrasonography and magnetic resonance; new clinical applications and instrumentation[J]. Skin Res Technol202430(3):e13633. DOI:10.1111/srt.13633.
[10]
Taljanovic MSGimber LHBecker GW, et al. Shear-wave elastography: basic physics and musculoskeletal applications[J]. Radiographics201737(3):855-870. DOI:10.1148/rg.2017160116.
[11]
缪瑶,徐辉雄,郭乐杭. 皮肤超声:2023年度研究进展与未来挑战[J]. 肿瘤影像学202433(5): 556-561. DOI: 10.19732/j.cnki.2096-6210.2024.05.014.
[12]
Cai RLin ZXu D, et al. The value of shear wave elastography in diagnosis and assessment of systemic sclerosis[J]. Rheumatol Adv Pract20237(3):rkad075. DOI:10.1093/rap/rkad075.
[13]
刘海兵,唐丹,曹海燕,等. 温哥华瘢痕量表的信度研究[J]. 中国康复医学杂志200621(3):240-242. DOI:10.3969/j.issn.1001-1242.2006.03.015.
[14]
陈光,陈柳青,崔勇,等. 皮肤超声质量控制专家共识(2023)[J]. 中国皮肤性病学杂志202438(1): 1-9. DOI:10.13735/j.cjdv.1001-7089.202306041.
[15]
李海东. 瘢痕的超高频超声影像学研究[D]. 北京协和医学院,2009.
[16]
Meikle BSimons MMahoney T, et al. Ultrasound measurement of traumatic scar and skin thickness: a scoping review of evidence across the translational pipeline of research-to-practice[J]. BMJ Open202414(4):e078361. DOI:10.1136/bmjopen-2023-078361.
[17]
Piscaglia FMarinelli SBota S, et al. The role of ultrasound elastographic techniques in chronic liver disease: current status and future perspectives[J]. Eur J Radiol201483(3):450-455. DOI:10.1016/j.ejrad.2013.06.009.
[18]
Li SDing HYang Y, et al. Global research status of pathological scar reported over the period 2001-2021: a 20-year bibliometric analysis[J]. Int Wound J202320(5):1725-1738. DOI:10.1111/iwj.13988.
[1] 张涛, 徐梓祎, 徐景竹, 王兴华. 急性肾静脉闭塞肾脏不同区域杨氏模量差异性的实验研究[J/OL]. 中华医学超声杂志(电子版), 2025, 22(10): 982-987.
[2] 张婉佳, 梁彤, 涂滨, 王丹郁. 高频超声应用于肱二头肌远端肌腱损伤的诊断价值[J/OL]. 中华医学超声杂志(电子版), 2025, 22(10): 976-981.
[3] 张俊清, 周秘, 张文军, 谭静, 尹立雪. 射血分数保留肝硬化患者的肝脏硬度与左心室功能超声特征及相关性分析[J/OL]. 中华医学超声杂志(电子版), 2025, 22(08): 768-776.
[4] 张硕, 袁建军, 崔明哲, 丁晓, 吴铭, 郭艳艳, 彭会娟, 秦亚飞, 陈晨, 朱好辉. 基于高频超声与剪切波弹性成像评估继发性淋巴水肿患者术后疗效的初步研究[J/OL]. 中华医学超声杂志(电子版), 2025, 22(06): 547-555.
[5] 颜华伦, 壮健, 朱韦文, 张超, 赵彤, 贾中芝. 肌骨超声联合剪切波弹性成像在不同类型肩袖撕裂术后评估中的临床应用[J/OL]. 中华医学超声杂志(电子版), 2025, 22(06): 527-534.
[6] 谭娇艳, 袁莉, 景珅, 郭吴丹, 吴文菁. 二维剪切波弹性成像技术在评估儿童脾大中的临床应用[J/OL]. 中华医学超声杂志(电子版), 2025, 22(03): 247-252.
[7] 窦礼敏, 陈川. 超微血流成像联合剪切波弹性成像对子宫内膜癌的临床辅助诊断价值分析[J/OL]. 中华妇幼临床医学杂志(电子版), 2025, 21(03): 322-328.
[8] 袁振明, 郭建英, 庞玉花, 王金环, 阳丹才让, 于国英. 二维实时剪切波弹性成像技术对囊型肝包虫分型的价值研究[J/OL]. 中华实验和临床感染病杂志(电子版), 2025, 19(01): 44-51.
[9] 陈洁莹, 许晶莹, 黄泽萍. 超声在女性压力性尿失禁诊断与疗效评估中的应用进展[J/OL]. 中华腔镜泌尿外科杂志(电子版), 2025, 19(01): 14-20.
[10] 张亚琼, 李香, 唐芳芳, 曹治平, 雷斌, 马宇宇. 基于多层螺旋CT影像学特征与高频超声鉴别成人腹股沟斜疝、直疝的临床价值[J/OL]. 中华疝和腹壁外科杂志(电子版), 2026, 20(01): 19-25.
[11] 赵静. 高频超声对腹股沟斜疝的诊断价值研究[J/OL]. 中华疝和腹壁外科杂志(电子版), 2024, 18(05): 575-578.
[12] 徐艳, 江秀娟, 王超, 江圆满. 股直肌剪切波弹性成像对COPD并发肌少症的诊断意义[J/OL]. 中华肺部疾病杂志(电子版), 2024, 17(03): 454-457.
[13] 李广飞, 李振涛, 刘宝, 胥明婧, 年梦雨. 超声剪切波弹性成像在直肠癌诊断及淋巴结转移评估中的应用研究[J/OL]. 中华消化病与影像杂志(电子版), 2026, 16(01): 21-25.
[14] 卫星彤, 李昊昌, 赵欣. 甲状腺木乃伊结节于多模态超声下的研究进展[J/OL]. 中华临床医师杂志(电子版), 2024, 18(04): 415-419.
[15] 刘通, 李菲, 朱莹, 王蓓. 剪切波弹性成像对甲状腺癌术后放射性碘治疗损伤唾液腺腺体的评估[J/OL]. 中华诊断学电子杂志, 2024, 12(02): 80-84.
阅读次数
全文


摘要


AI


AI小编
你好!我是《中华医学电子期刊资源库》AI小编,有什么可以帮您的吗?